矯正治療の症例集 Case

症例一覧

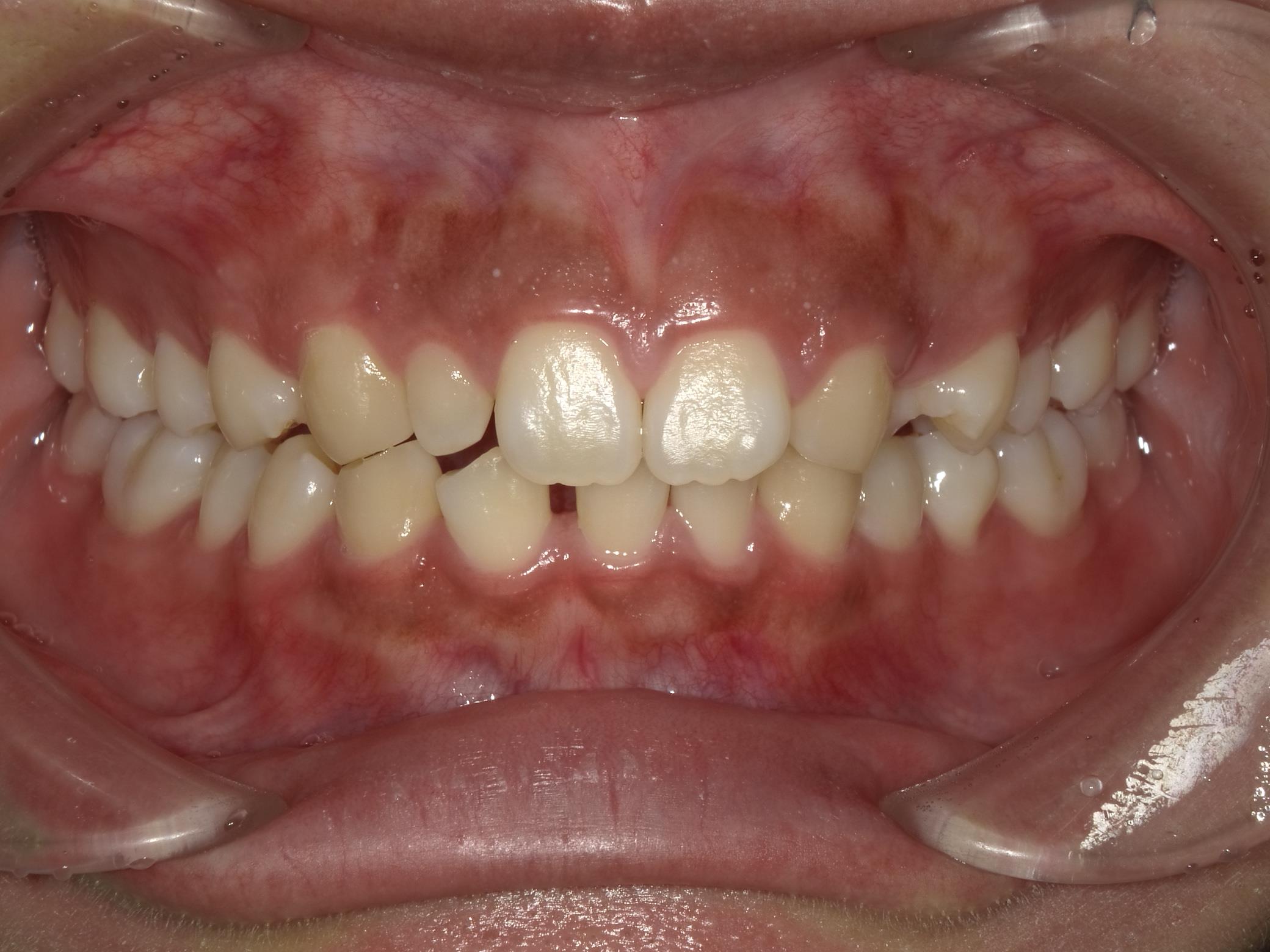
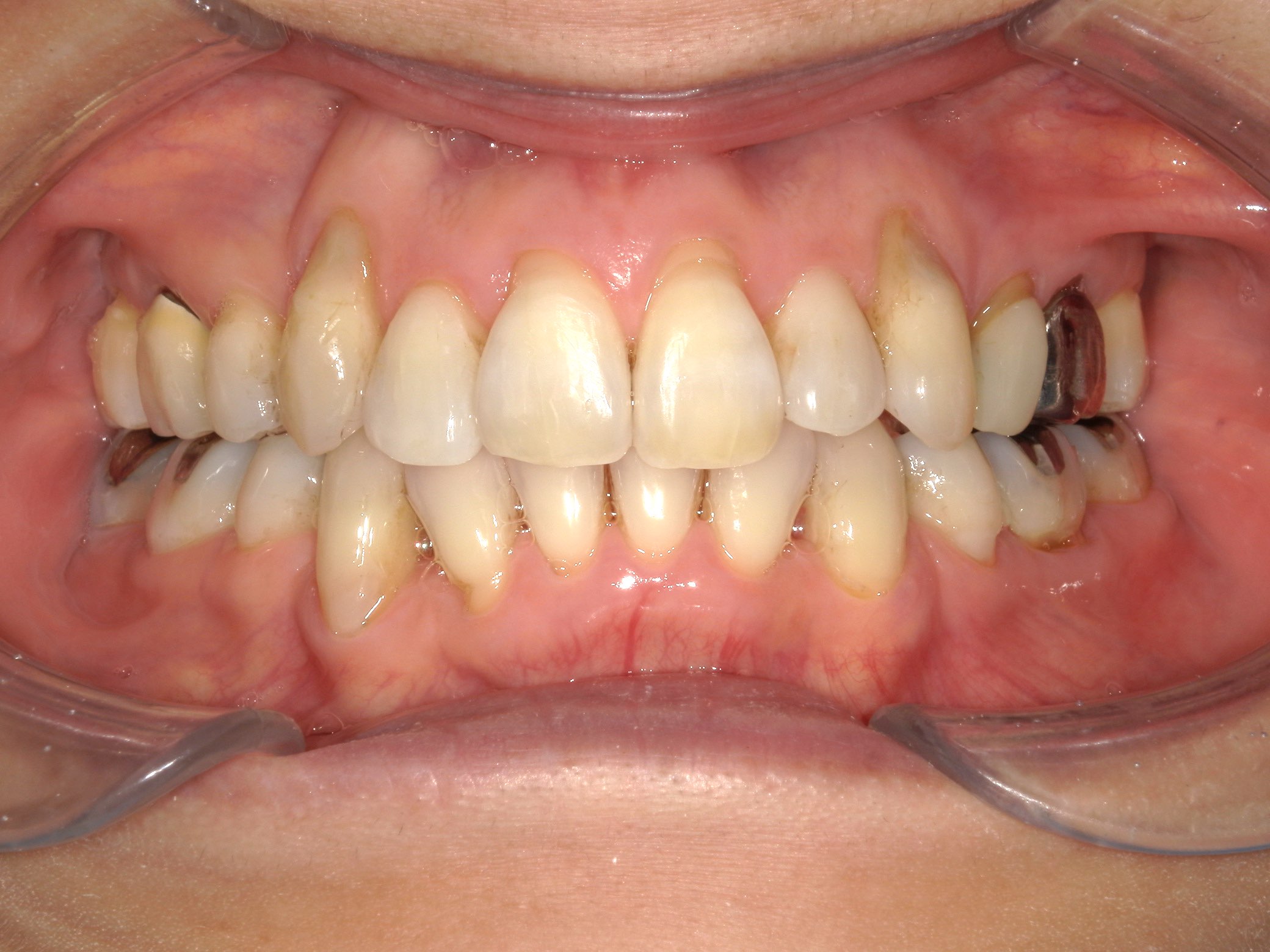
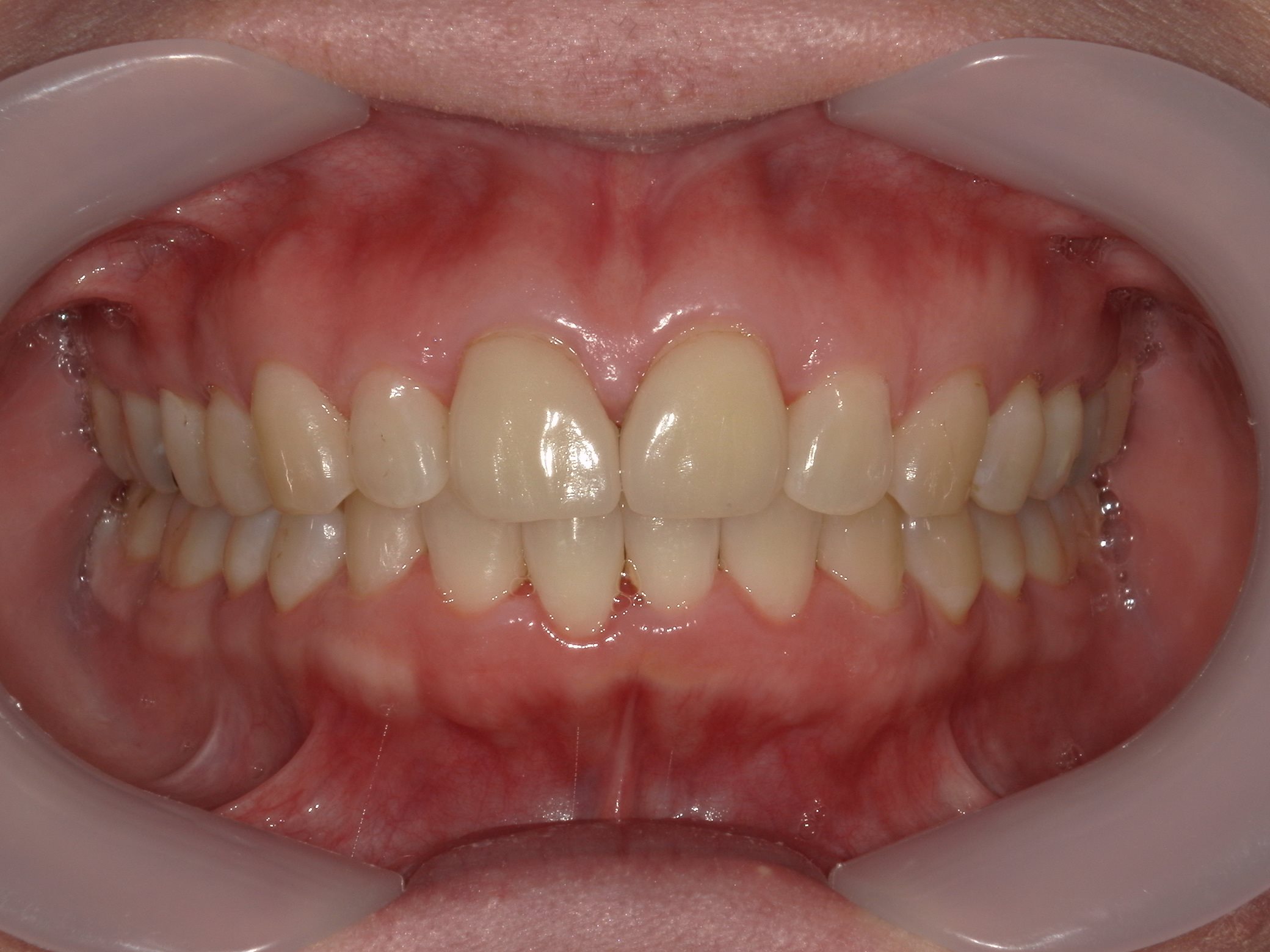
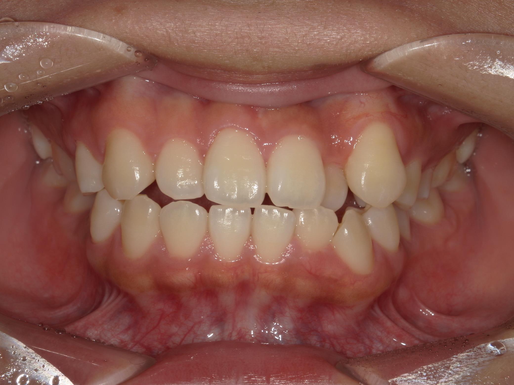
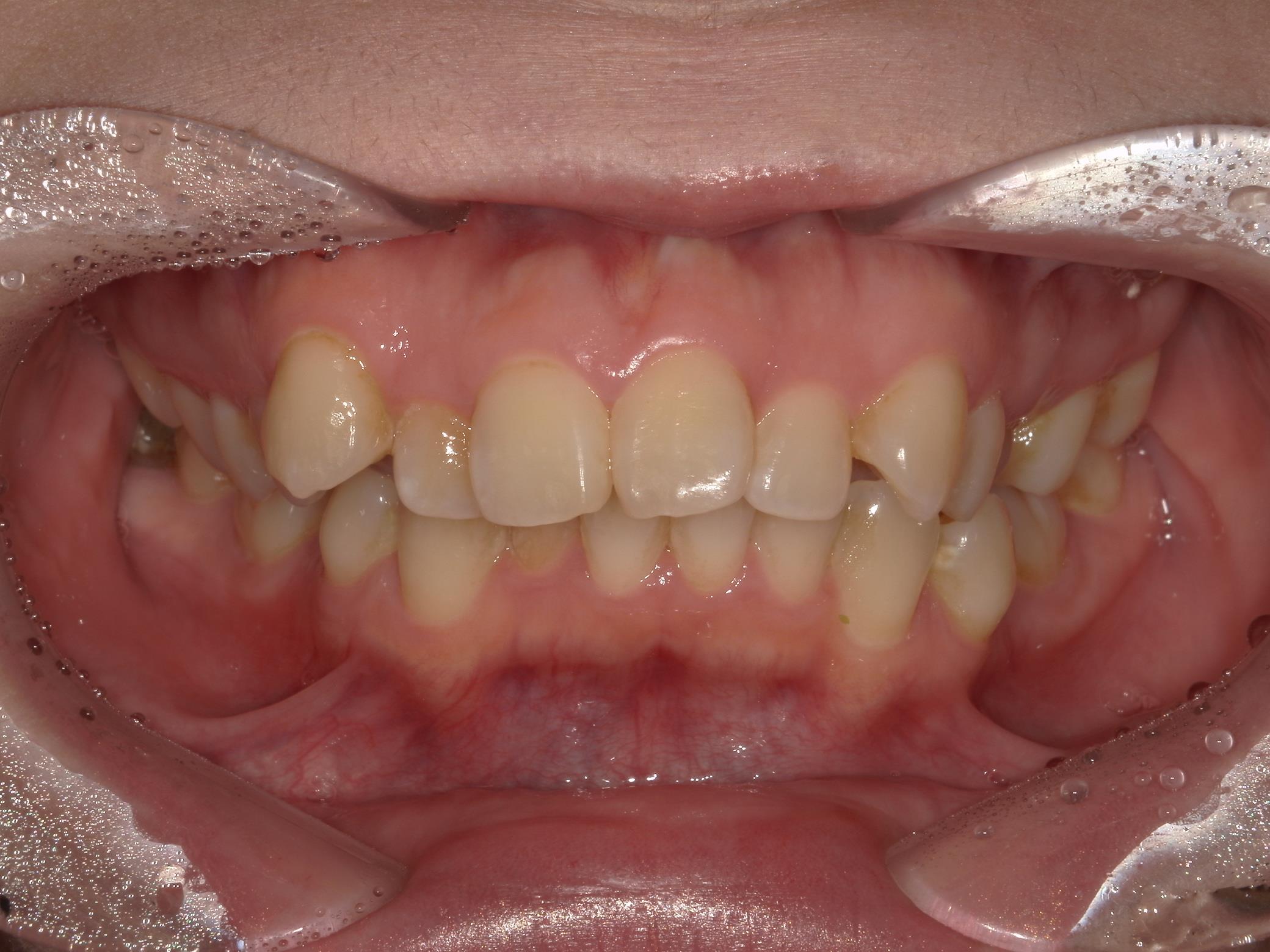
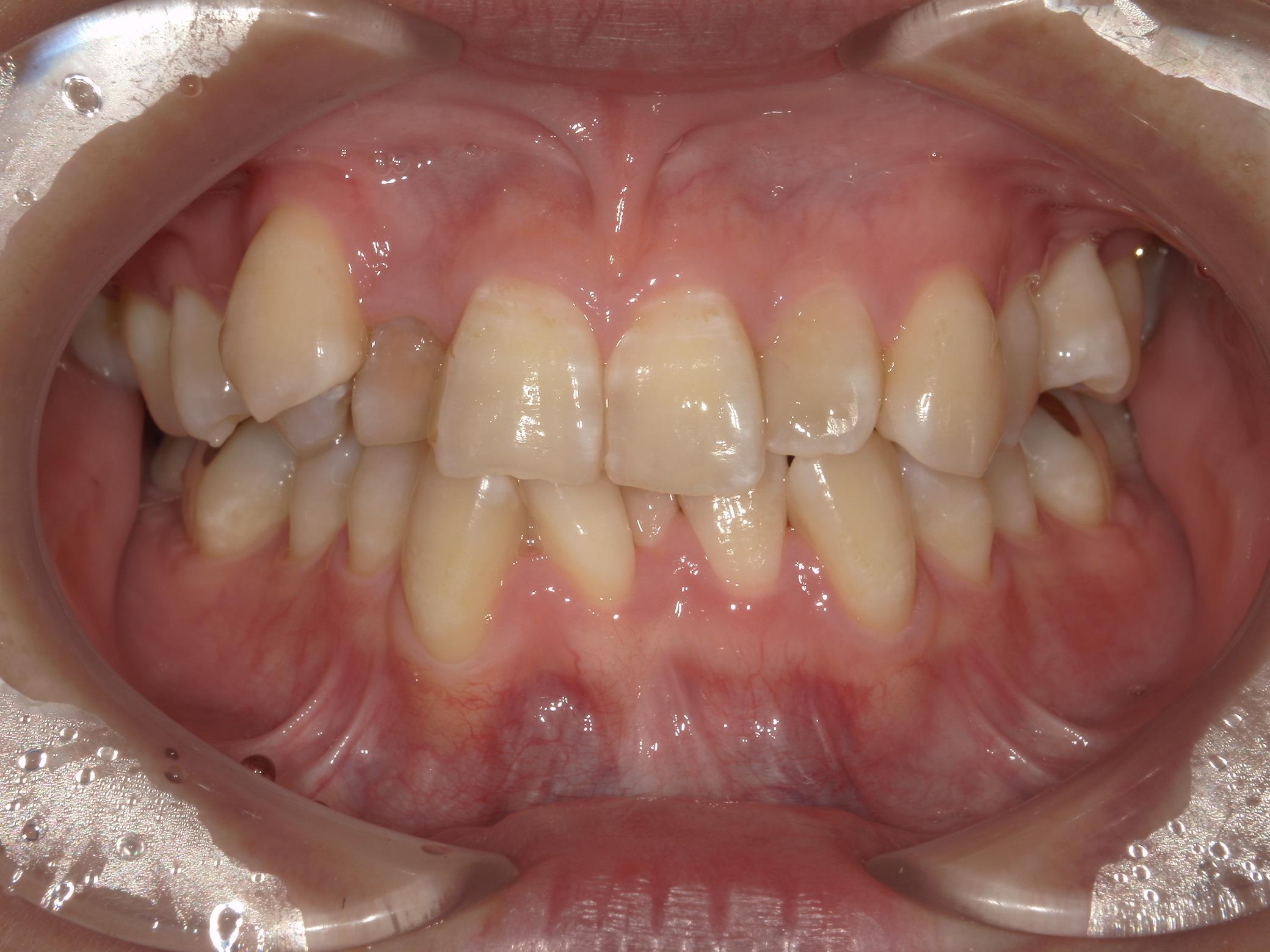
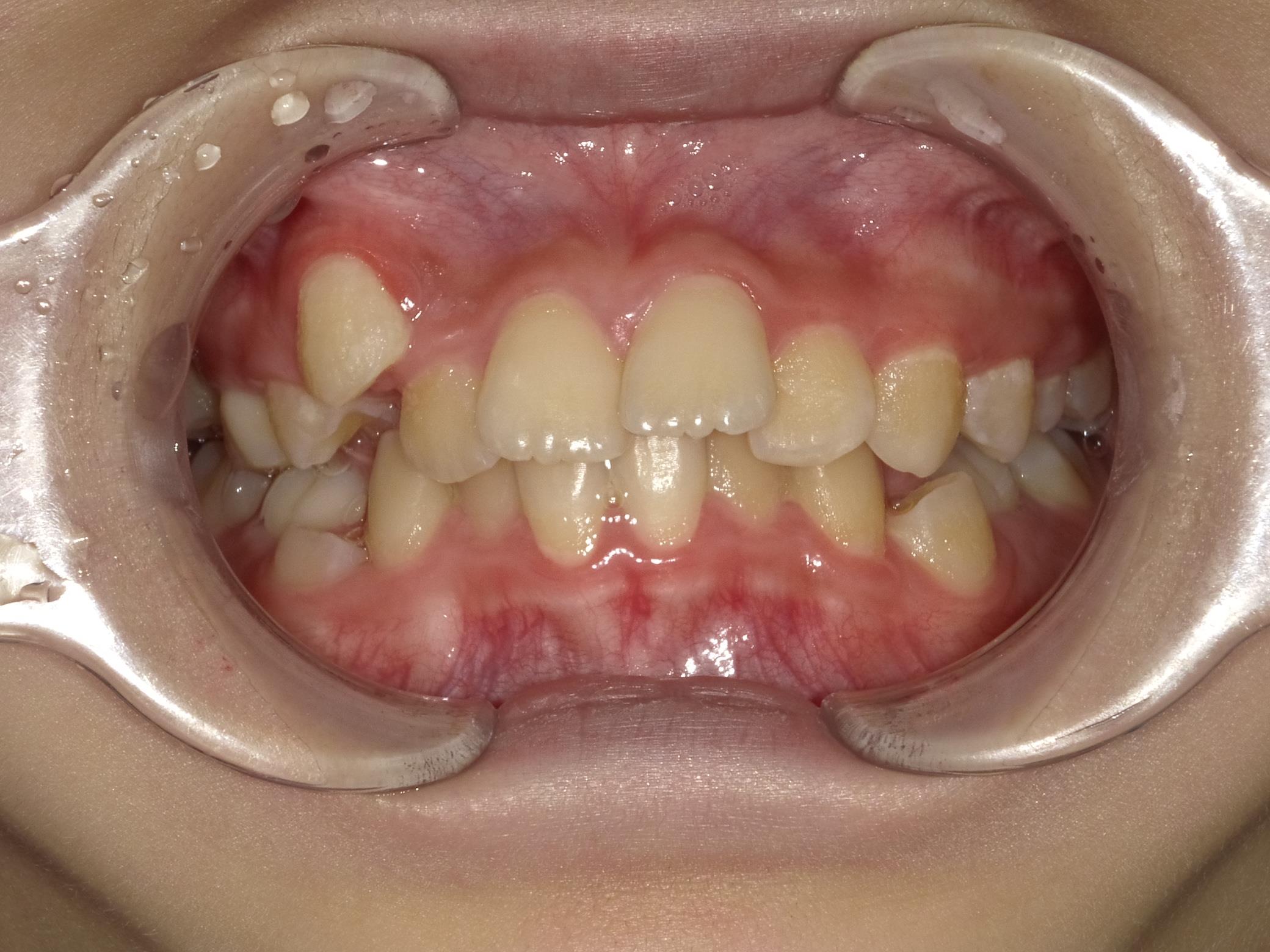
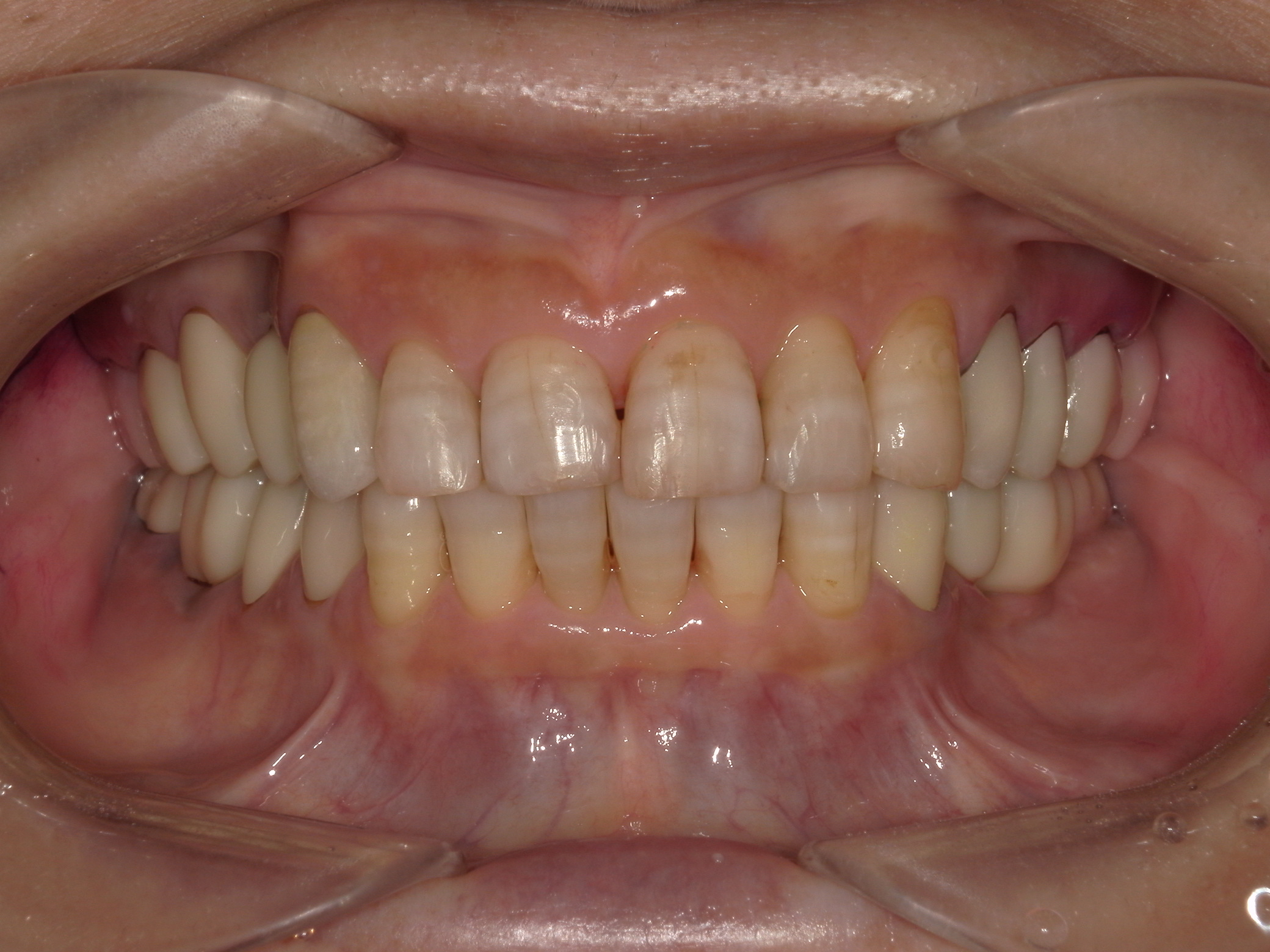
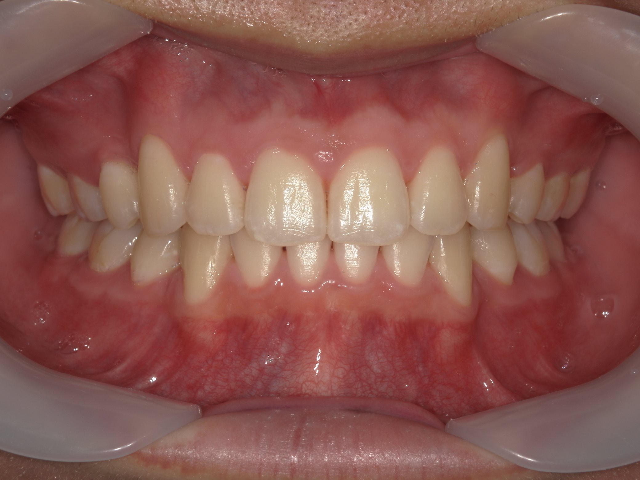
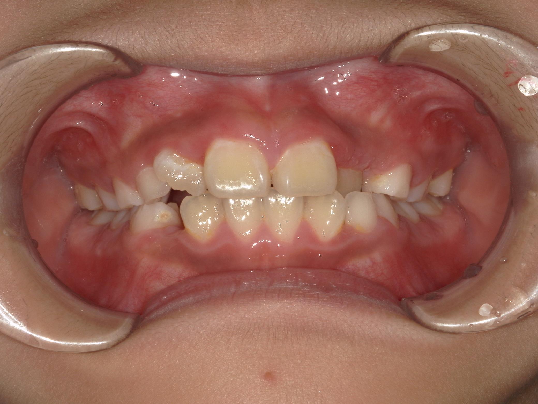
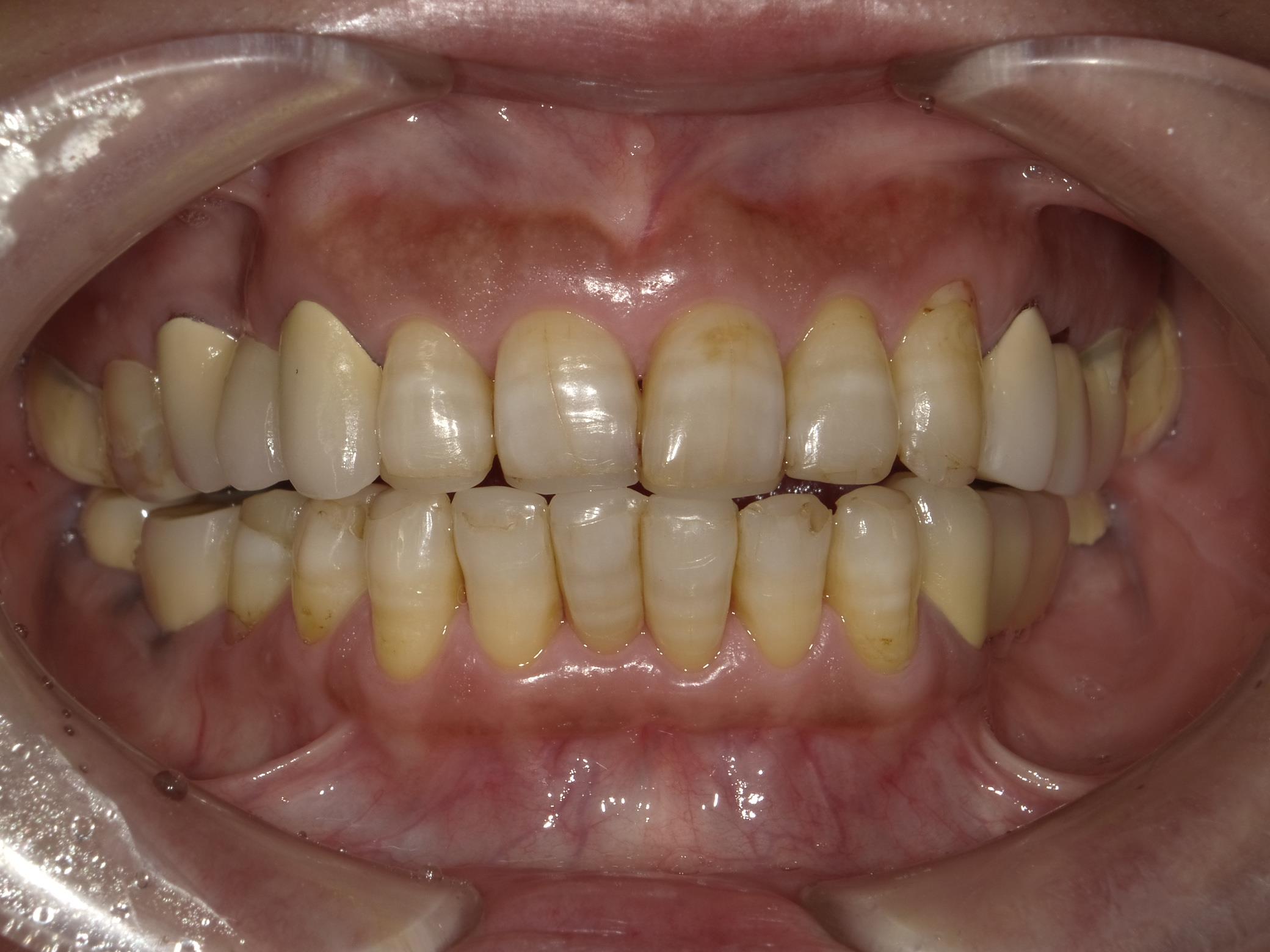
BeforeAfter

詳しくはこちら

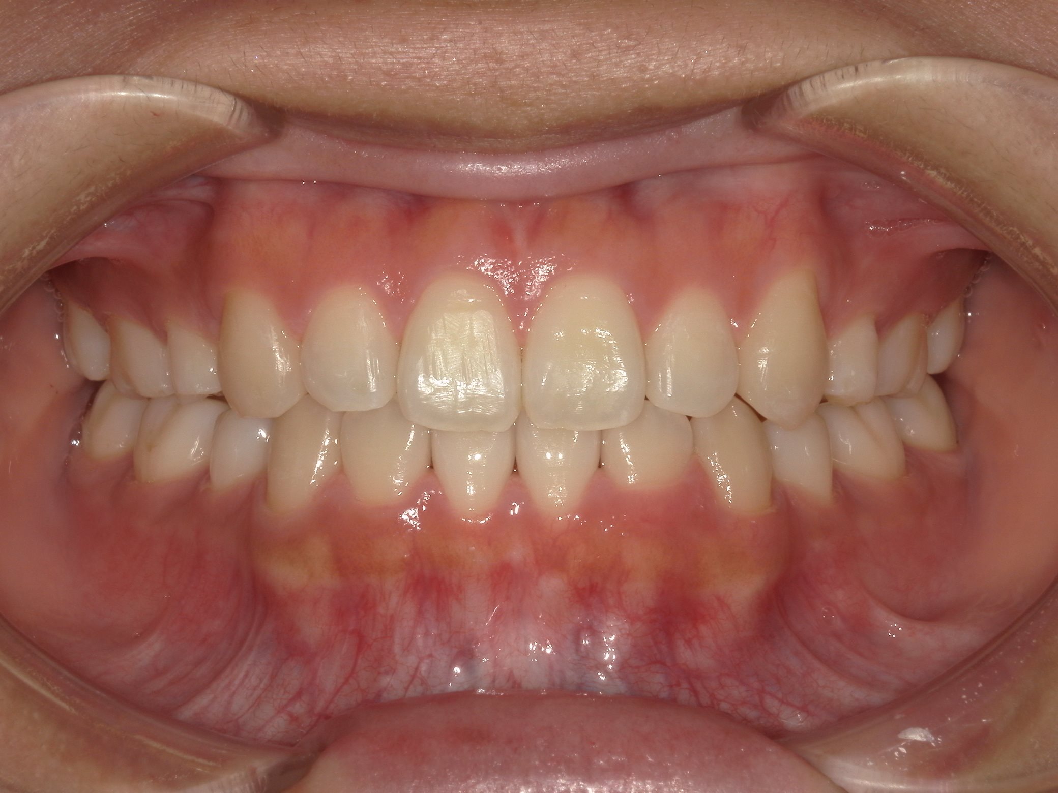
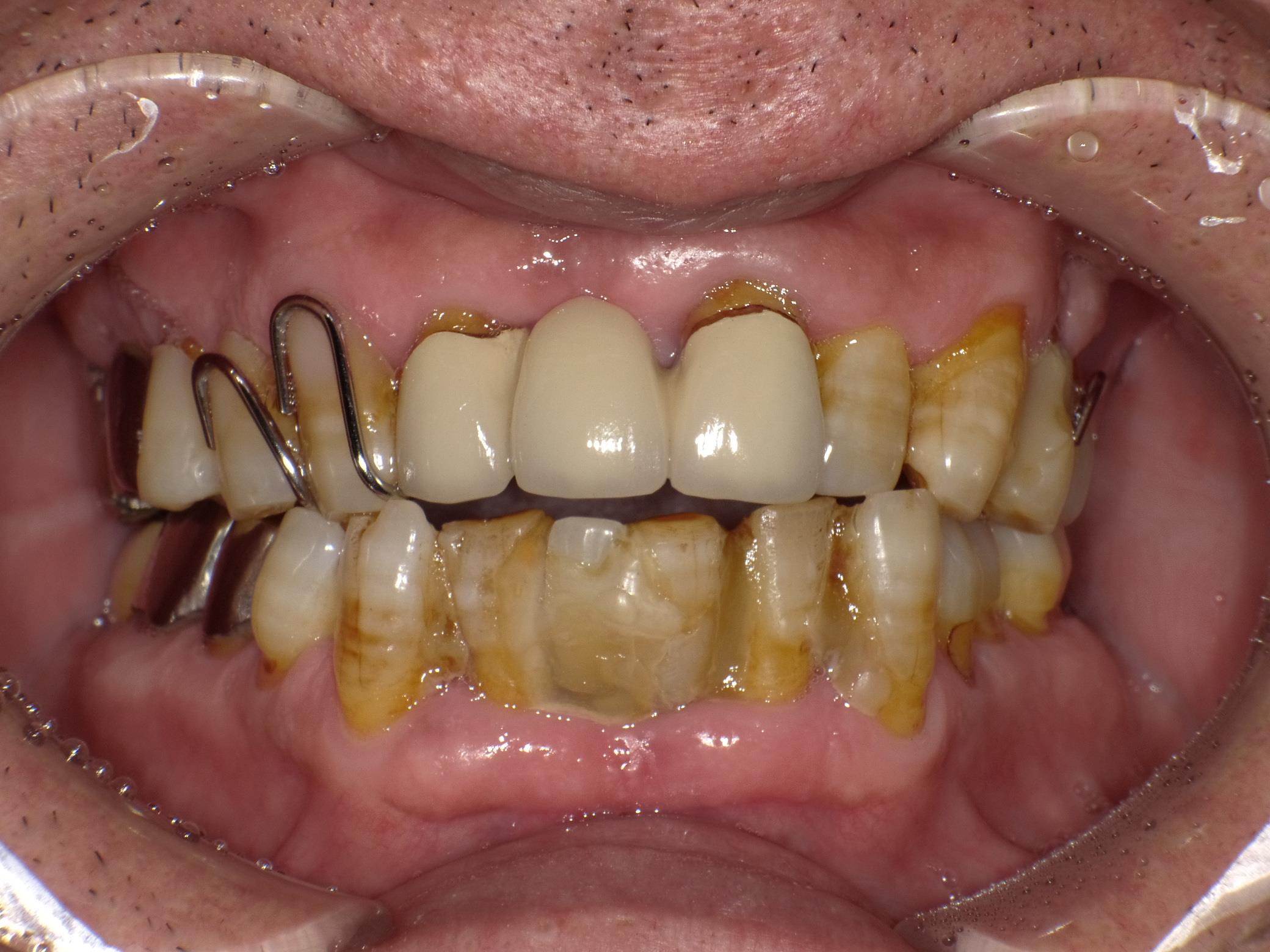
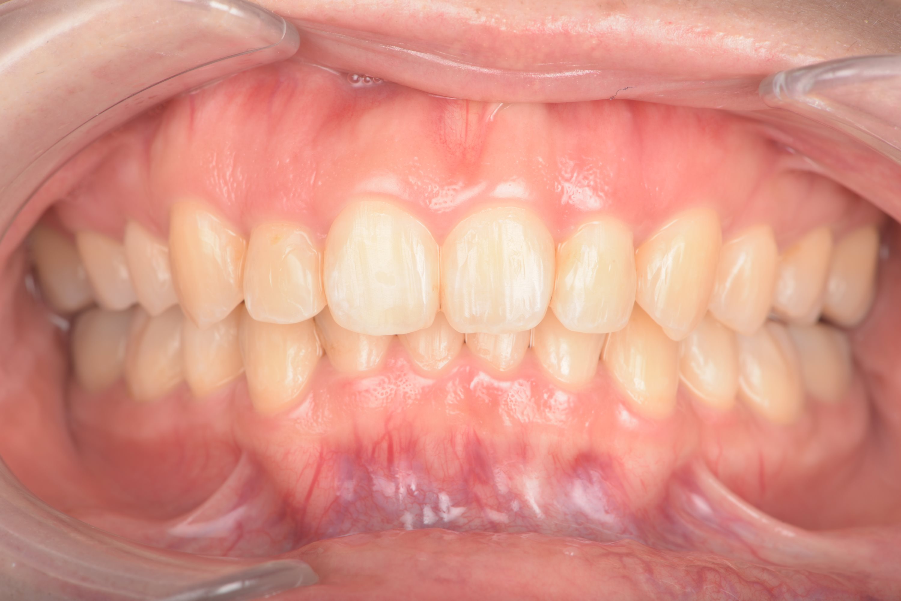
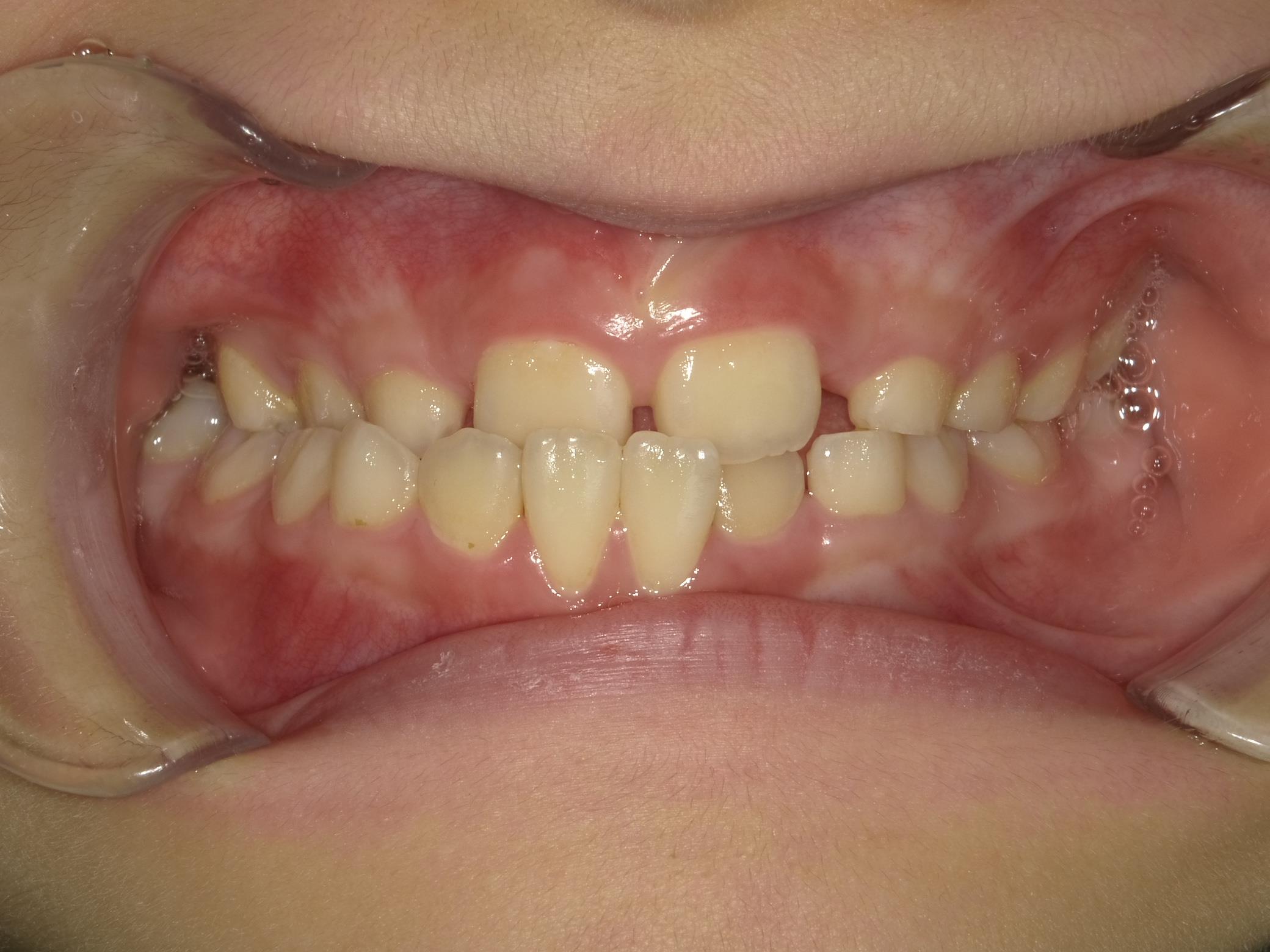
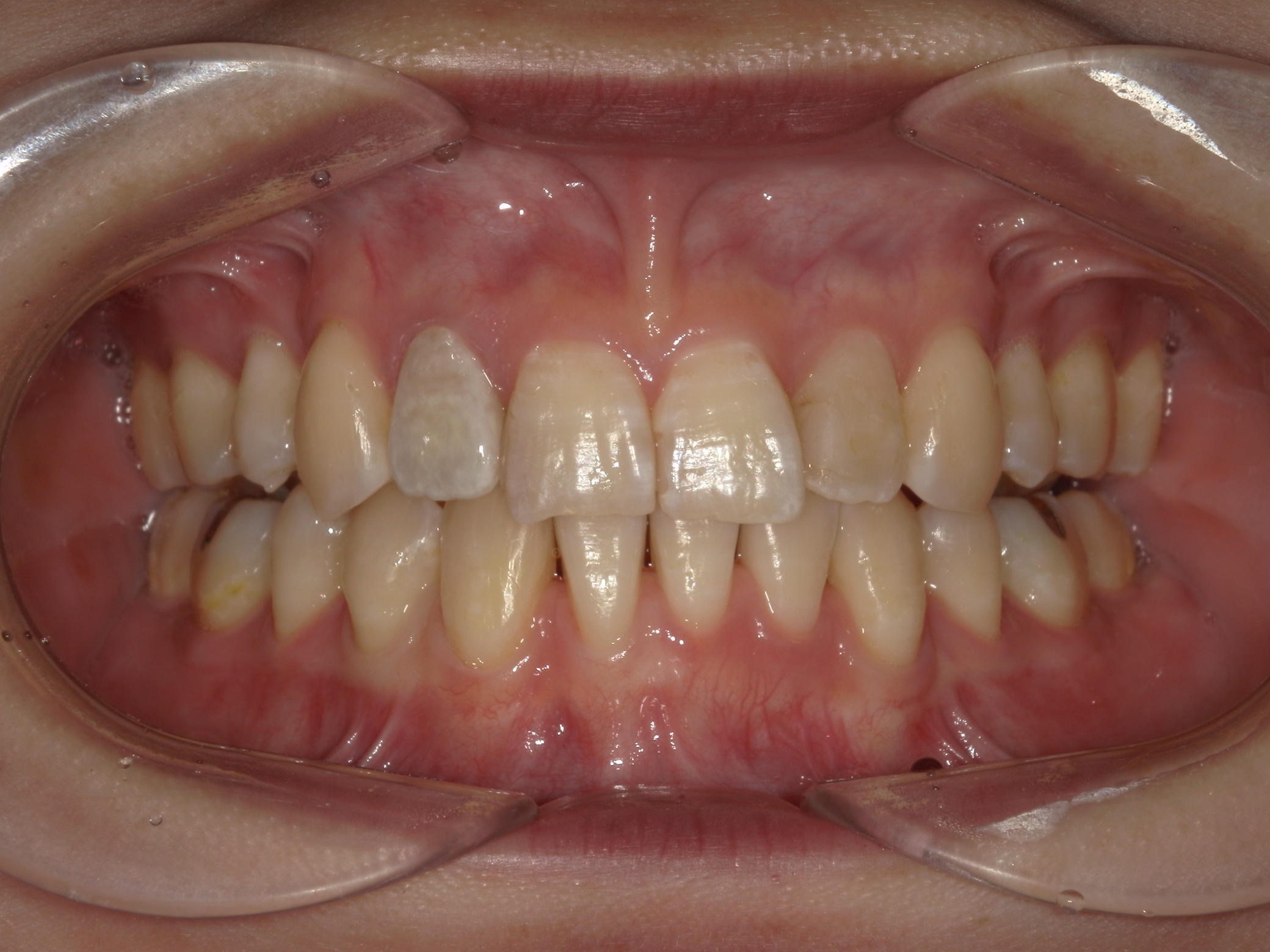
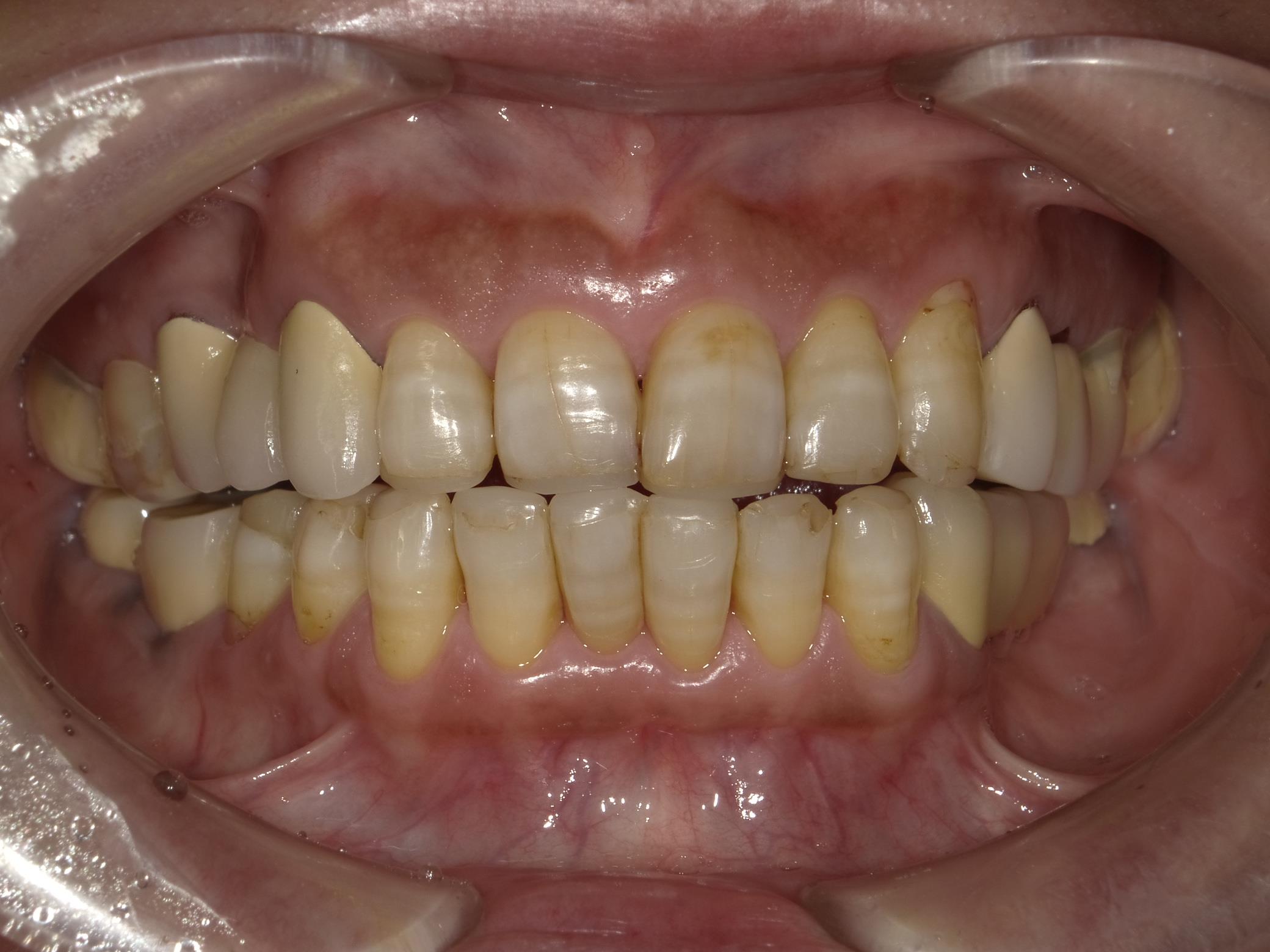
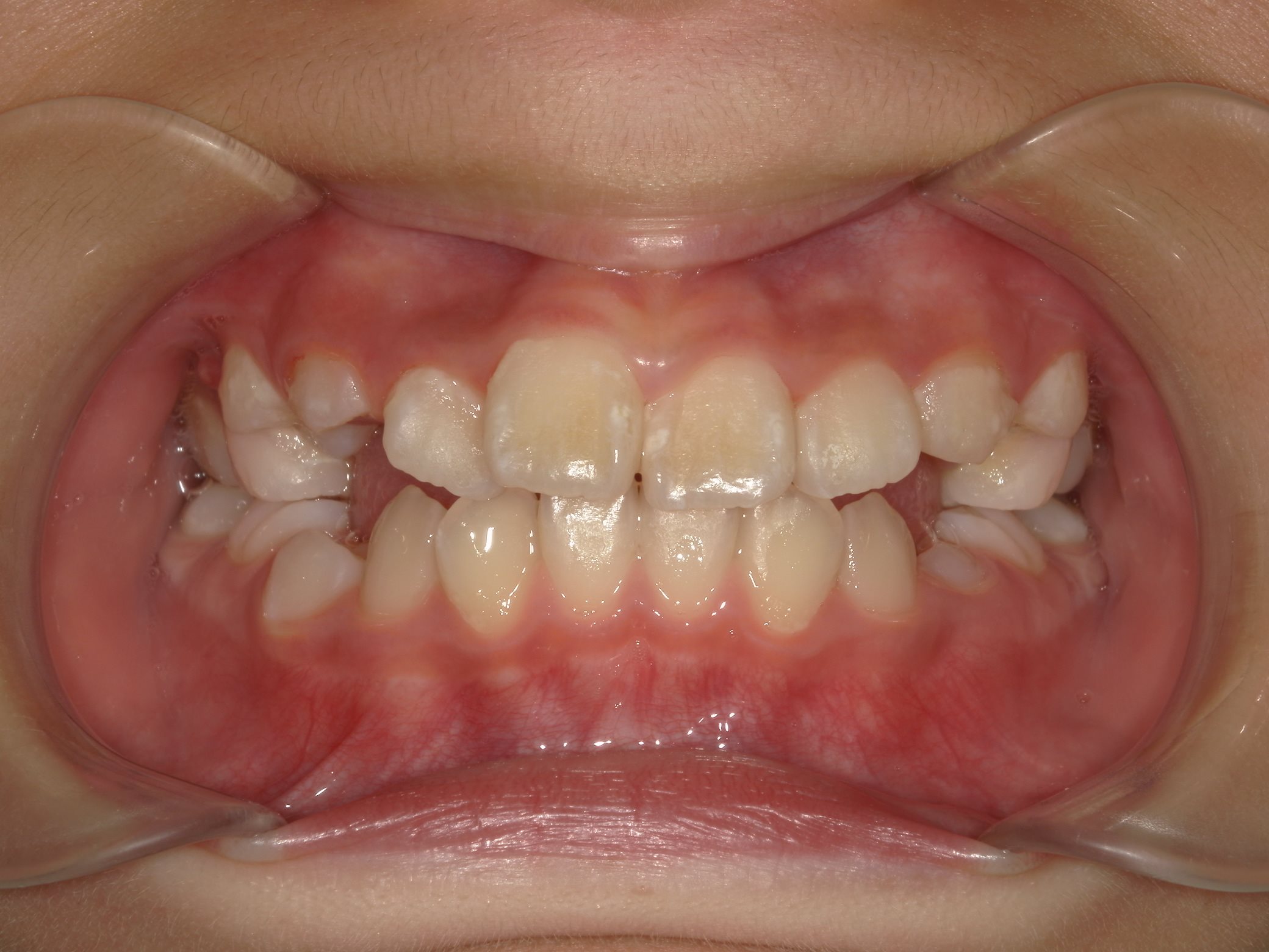
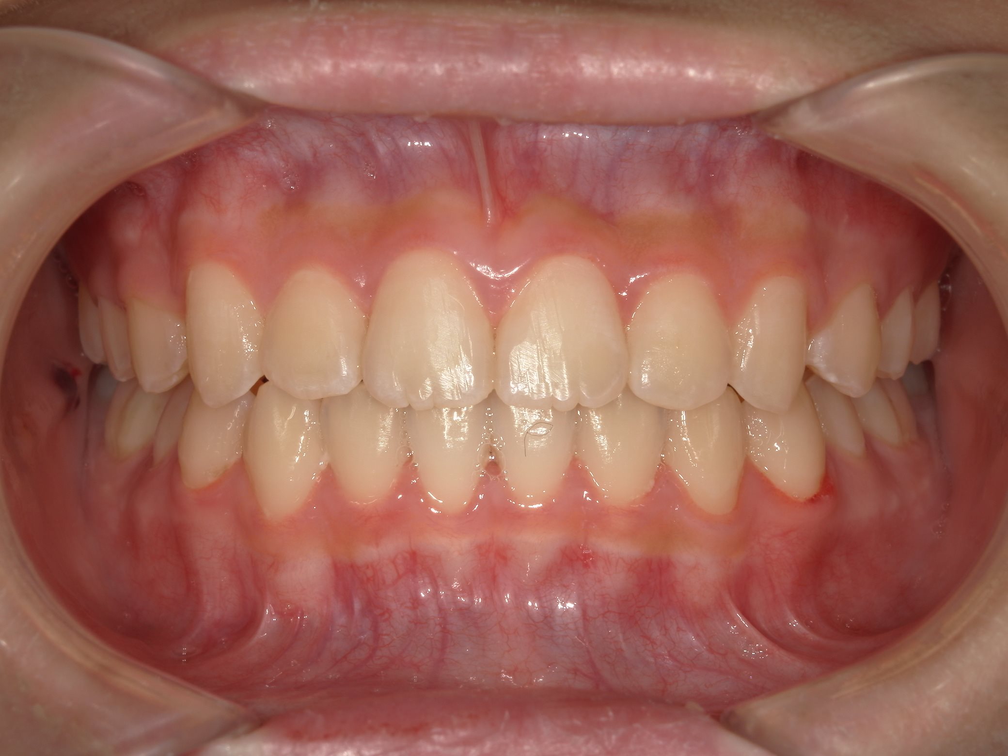
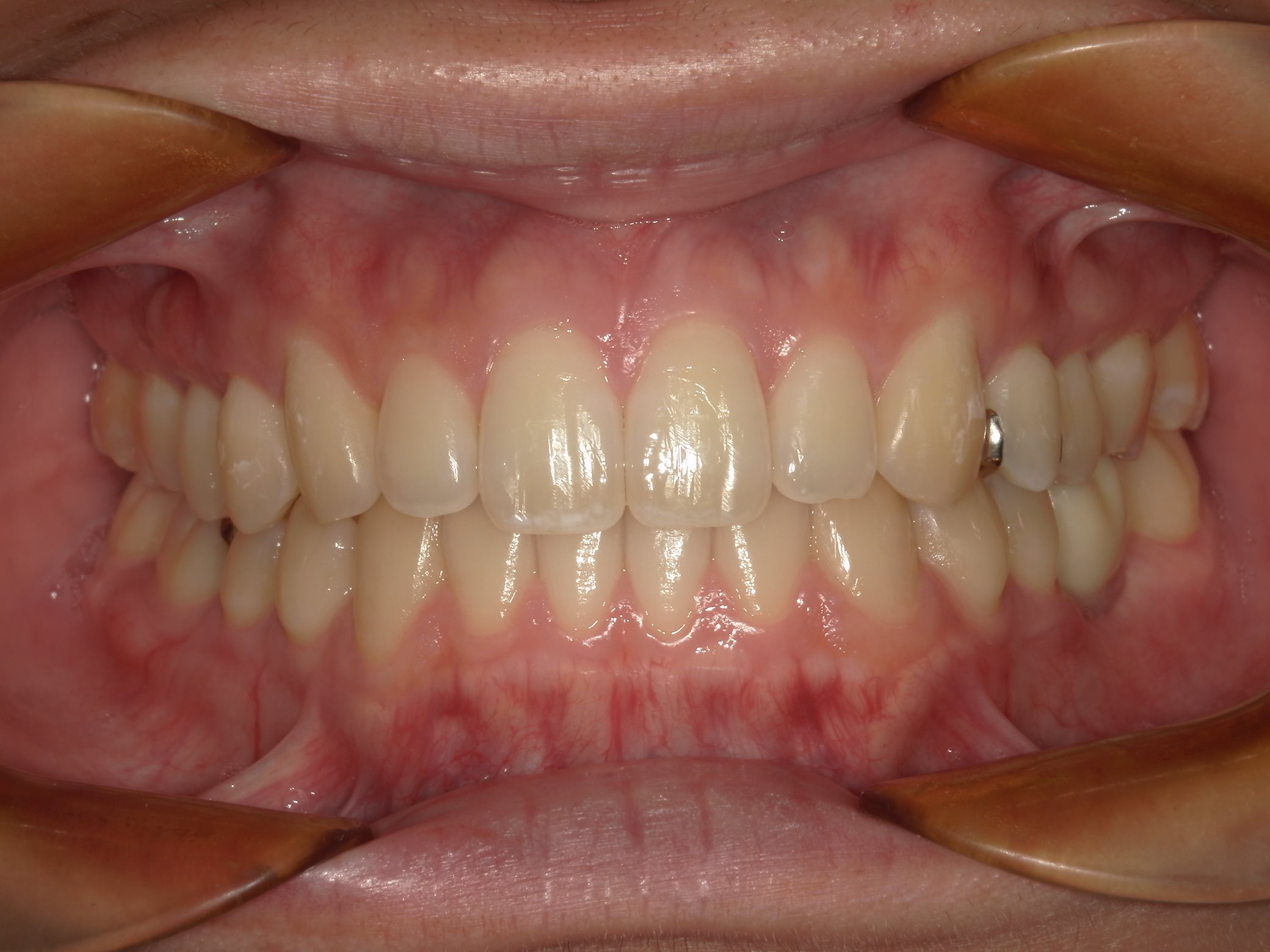
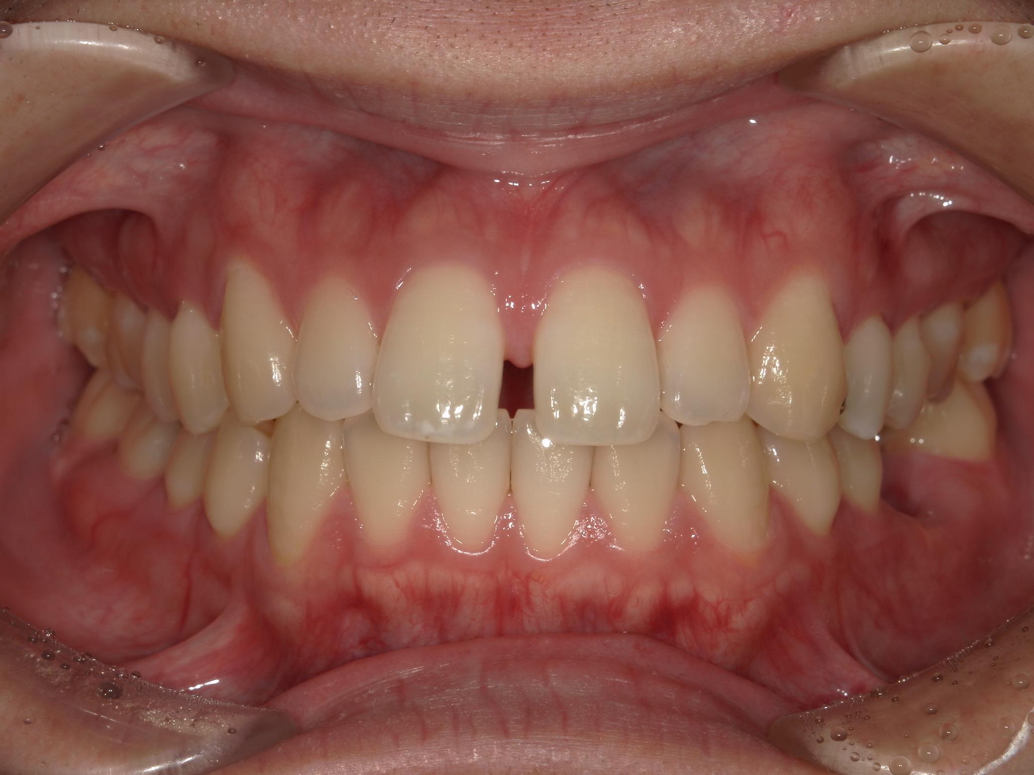
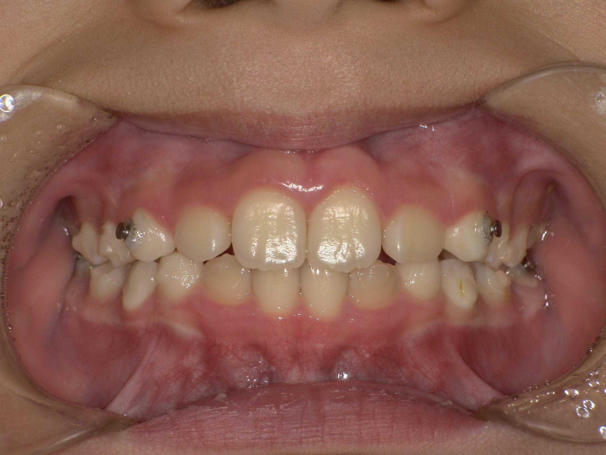
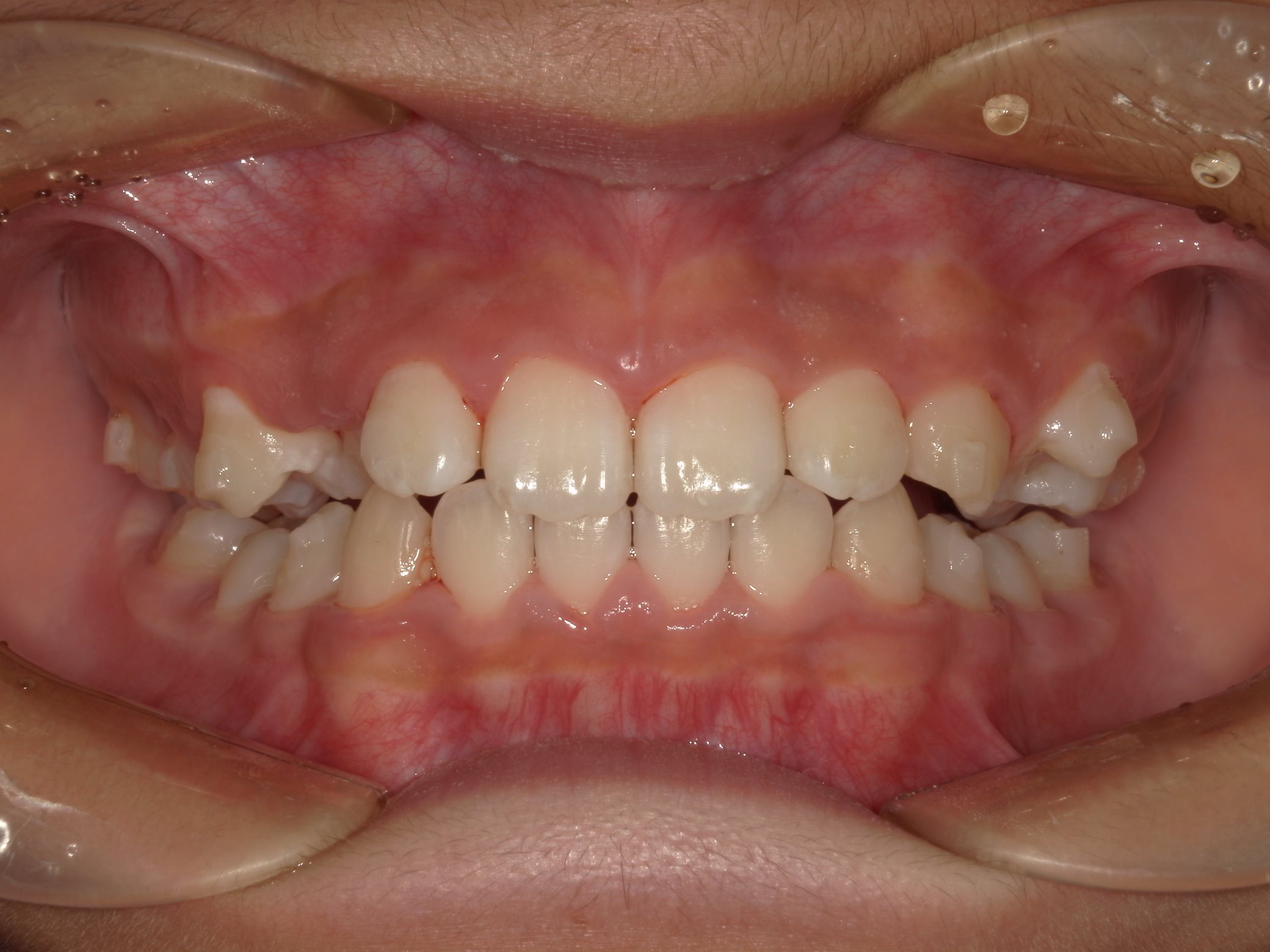
BeforeAfter

詳しくはこちら

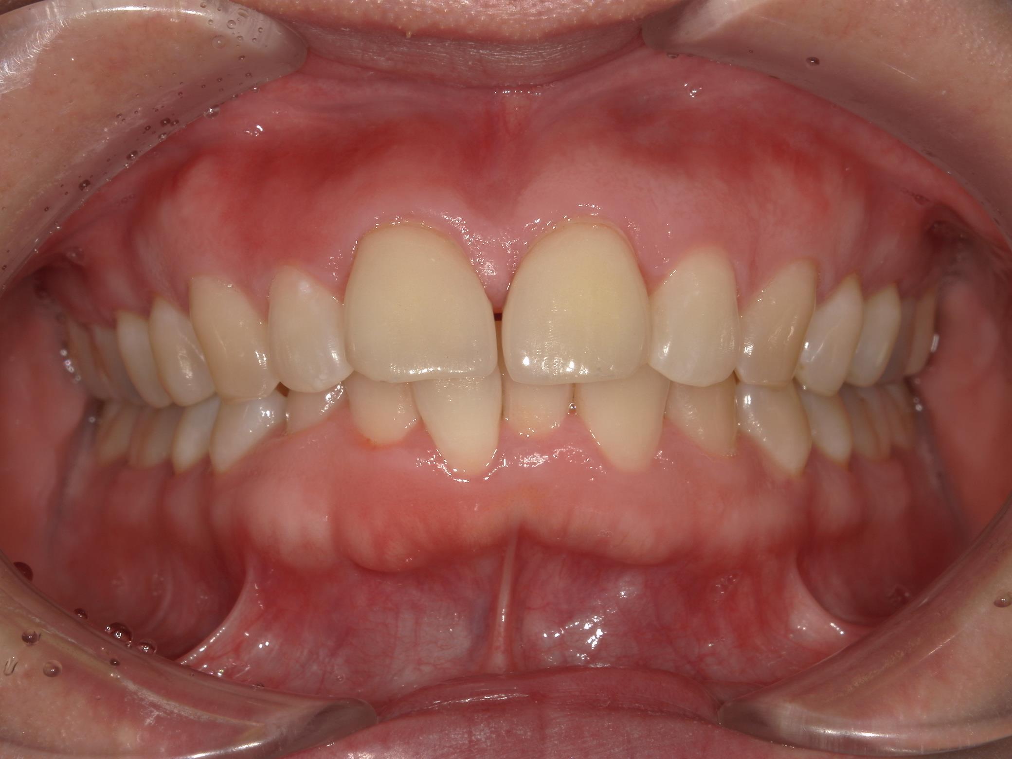
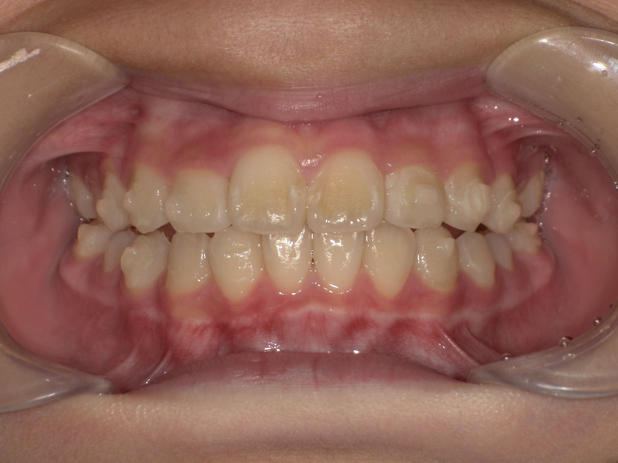
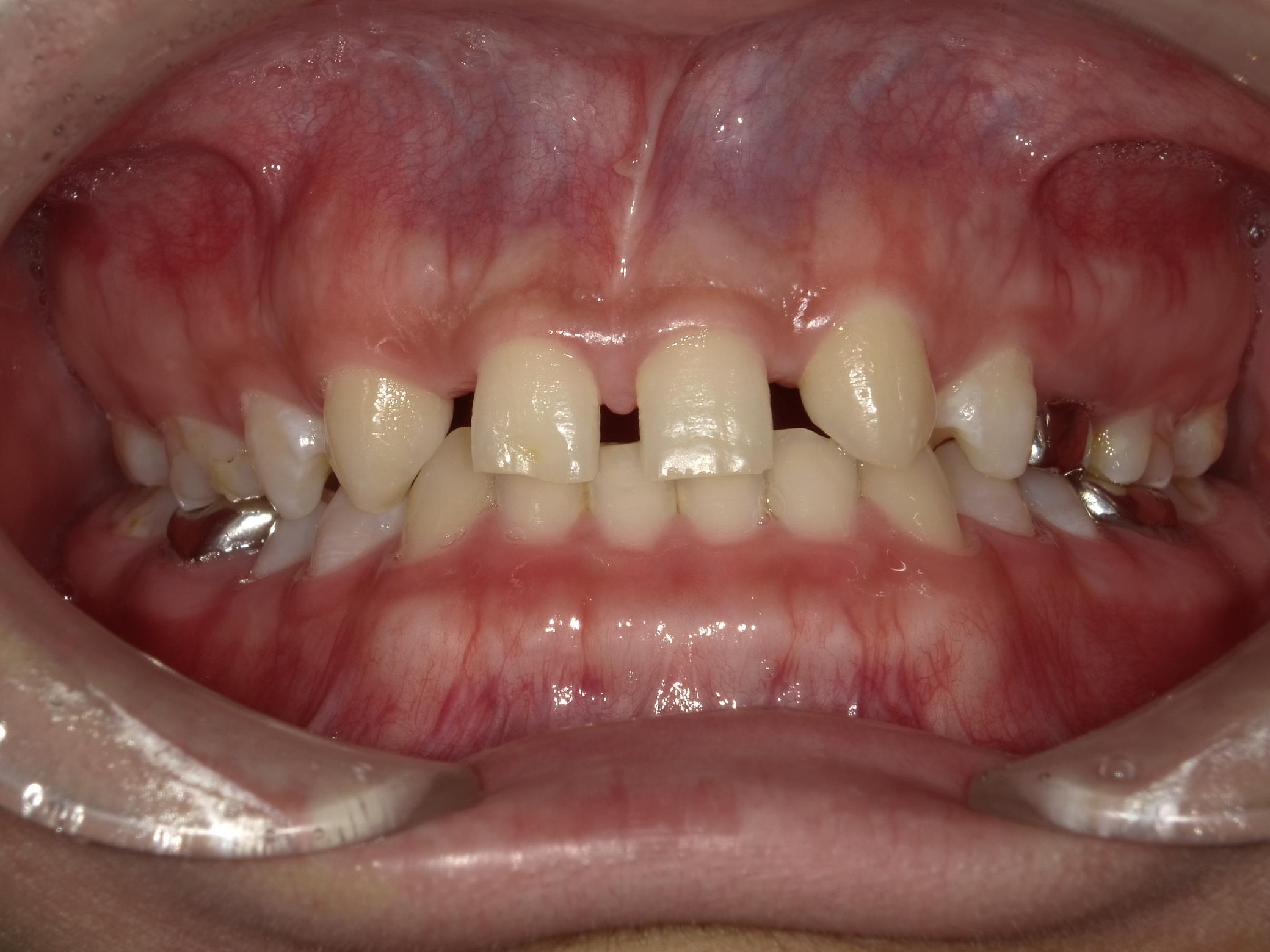
BeforeAfter

詳しくはこちら

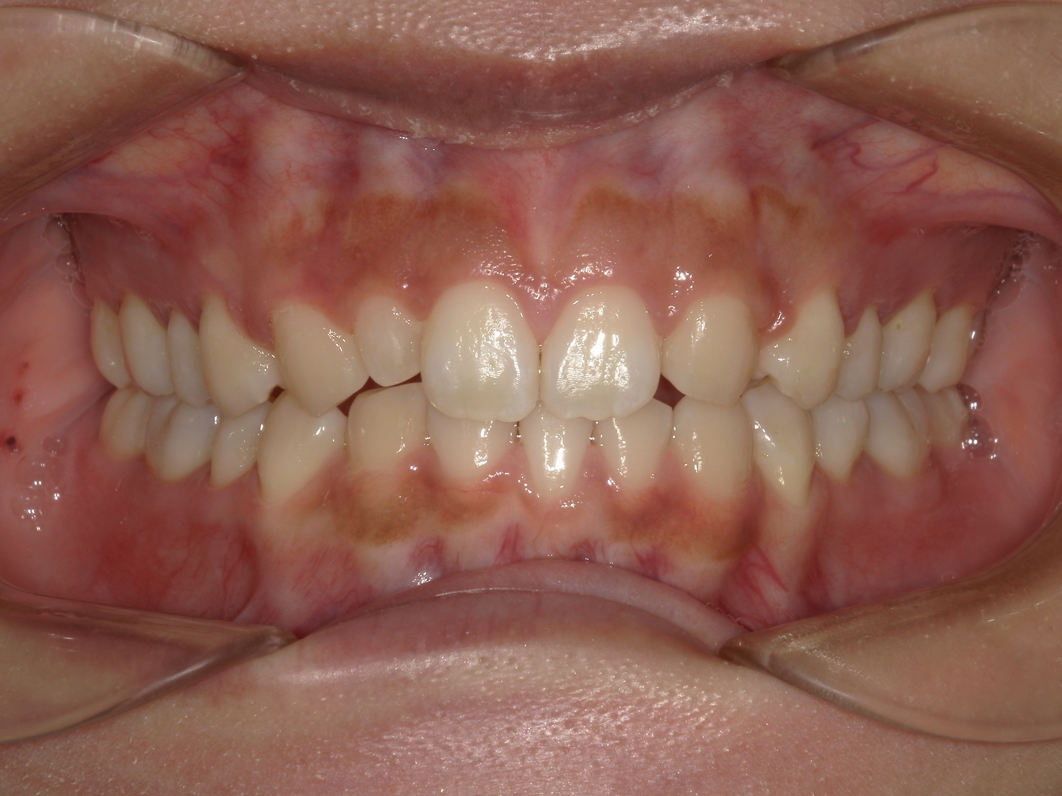
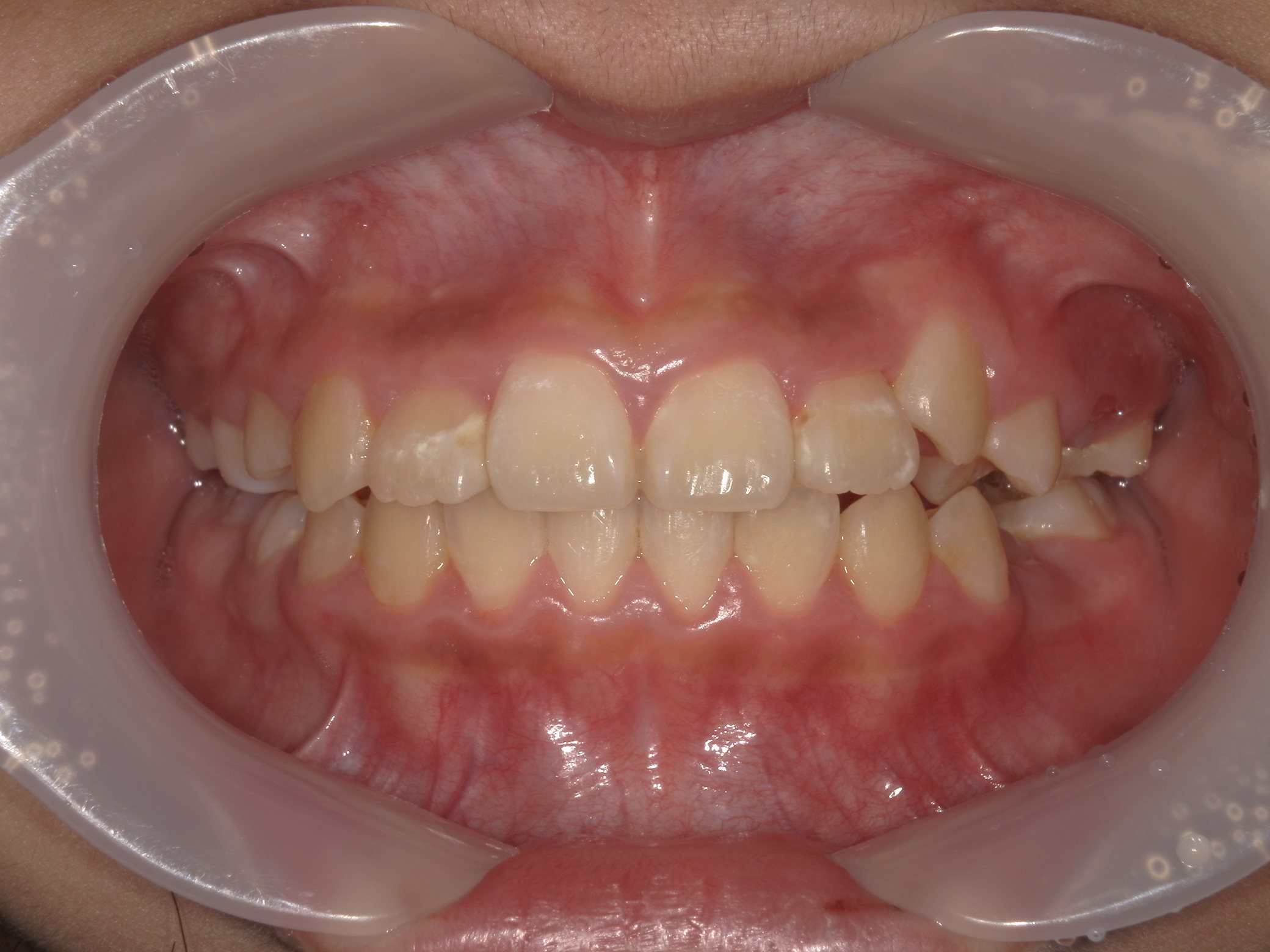
BeforeAfter

詳しくはこちら

BeforeAfter

詳しくはこちら

BeforeAfter

詳しくはこちら
1 / 2 ページ2

お問い合わせ Contact お問い合わせ Contact

お電話でのお問い合わせはこちら TEL 075-662-1600 TEL 075-662-1600 受付時間 9:00~18:00  土曜 8:30〜17:30
※ 日曜・木曜・祝日

\ 24時間受付中 / 24時間ウェブ予約

アクセス診療スケジュール Access / Schedule アクセス診療スケジュール Access / Schedule

医療法人社団和成会 
烏丸十条マス歯科・矯正歯科

〒601-8037
京都府京都市南区東九条西河辺町5-1
TEL 075-662-1600

 
9:00 - 18:00
【診療時間】
9:00~18:00
▲…8:30〜17:30
【休診日】
日曜・木曜・祝日
※変則で土曜日が休診日になる場合がございます。
その週は、木曜日に診療致します。

Google MAPで見る

当院では施設基準等に適合している旨、厚生労働省地方厚生(支)局に届け出ています。詳しくはこちらをご覧ください。

24時間WEB予約受付中 アクセス・診療時間
タップすると電話がかかります 075-662-1600 ウェブ予約